Home
Home
Hospital Website
Our Founders
Management
Administration Team
About Amala IMS
History
Vision & Mission
Director's Message
Principal's Message
Organogram
Philosophy
Course
UG Course
PG Courses
PG Super Speciality
CBME Curriculum: Objectives & Expected Outcome
Admission
Academic Schedules
Departments
Library
About Library
Library Resources
Library Facilities
Library Services
Gallery
News & Events
Gallery
IQAC
Clubs
Committees
NAAC
KUHS QAS
MSR Clause B.1.11
Principal, Med. Supdt.
Teaching Staff
Intake Capacity
List of Students
Publications/ CME/ Workshop
University Details
Last year Result
Status of recognition of courses
List of non-teaching staff
Research Publications
Clinical Department Bed Strength
Citizen Charter
Journal
Official Journal of AIMS
Medical Education Unit
Student Corner
Learning Management System
Student Login
Pay Fees
NMC Dashboard
Contact us
Please select from the following:
Tuition Fee
Hostel Fee
Close
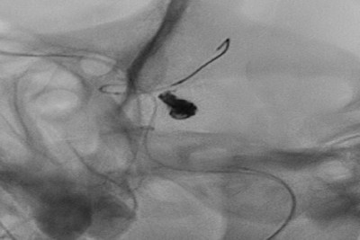
അമലയിൽ ബലൂൺ-അസിസ്റ്റഡ് കോയിൽ എംബൊലൈസേഷൻ വഴി പൊട്ടിയ ബ്രെയിൻ ആന്യുറിസം വിജയകരമായി ചികിത്സിച്ചു
Home
Gallery
അമലയിൽ ബലൂൺ-അസിസ്റ്റഡ് കോയിൽ എംബൊലൈസേഷൻ വഴി പൊട്ടിയ ബ്രെയിൻ ആന്യുറിസം വിജയകരമായി ചികിത്സിച്ചു