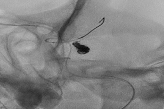
അമലയിൽ ബലൂൺ-അസിസ്റ്റഡ് കോയിൽ എംബൊലൈസേഷൻ വഴി പൊട്ടിയ ബ്രെയിൻ ആന്യുറിസം വിജയകരമായി ചികിത്സിച്ചു

  • Home
  • News and Events
  • അമലയിൽ ബലൂൺ-അസിസ്റ്റഡ് കോയിൽ എംബൊലൈസേഷൻ വഴി പൊട്ടിയ ബ്രെയിൻ ആന്യുറിസം വിജയകരമായി ചികിത്സിച്ചു
  • February 18, 2026

അമലയിൽ ബലൂൺ-അസിസ്റ്റഡ് കോയിൽ എംബൊലൈസേഷൻ വഴി പൊട്ടിയ ബ്രെയിൻ ആന്യുറിസം വിജയകരമായി ചികിത്സിച്ചു

അമല ഇൻസ്റ്റിറ്റ്യൂട്ട് ഓഫ് മെഡിക്കൽ സയൻസസിൽത്രിശ്ശൂരിൽആദ്യമായി ബലൂൺ-അസിസ്റ്റഡ് കോയിൽ എംബൊലൈസേഷൻ വഴി പൊട്ടിയ ബ്രെയിൻ ആന്യുറിസം വിജയകരമായി ചികിത്സിച്ചു.  ബ്രെയിൻ ആന്യുറിസം തലച്ചോറിലെ രക്തക്കുഴലിന്റെ ബലൂൺ പോലെ വീർപ്പുള്ള ദുർബലാവസ്ഥയാണ്. ഇത് പൊട്ടുമ്പോൾ സബാരക്‌നോയ്ഡ് ഹെമറേജ് ഉണ്ടാകുന്നുപെട്ടെന്ന് കടുത്ത തലവേദനബോധക്ഷയംമരണത്തിനോ സ്ഥിരമായ വൈകല്യത്തിനോ ഇടവരുത്തുന്ന ഗുരുതരാവസ്ഥ.  പരമ്പരാഗതമായിഇതിന്    ക്രേനിയോട്ടമി ആവശ്യമായ തുറന്ന തലച്ചോർ ശസ്ത്രക്രിയയാണ് നടത്താറുള്ളത്. എന്നാൽഈ കേസിൽ കൈയിലോ അരയിലോ ചെറിയ ആർട്ടീരിയൽ പഞ്ചർ വഴി *എൻഡോവാസ്കുലാർ കീഹോൾ വഴി മൈക്രോകത്തീറ്ററുകൾ  ഉപയോഗിച്ച് ആന്യുറിസം വരെ എത്തിപ്ലാറ്റിനം കോയിലുകൾ സ്ഥാപിച്ച് അത് അടച്ചു. വിശാലമായ കഴുത്തുള്ള ആന്യുറിസത്തിൽ കോയിൽ സ്ഥിരമായി സ്ഥാപിക്കാൻ താൽക്കാലിക ബലൂൺ ഉപയോഗിച്ചു.  ഈ സാങ്കേതിക വിദ്യ തലയിൽ ശസ്ത്രക്രിയ മുറിവ് ഒഴിവാക്കുന്നുശസ്ത്രക്രിയാ ആഘാതം കുറയ്ക്കുന്നുവേഗത്തിൽ സുഖം പ്രാപിക്കാൻ സഹായിക്കുന്നു. രോഗി മികച്ച രീതിയിൽ സുഖം പ്രാപിച്ച്യാതൊരു പ്രവർത്തന ന്യൂറോളജിക്കൽ വൈകല്യങ്ങളുമില്ലാതെ ഡിസ്ചാർജ് ചെയ്യപ്പെട്ടു. ന്യൂറോ ഇന്റർവെൻഷണൽ വിദഗ്ധർ ഡോ. ജയശങ്കർ വി.ആർ.ഡോ. അരുണ്നാഥ് കെ.  അനസ്തീഷ്യ വിഭാഗം ഡോ. ജോൺ ഫ്രാൻസിസ്ഡോ. ഷീതൽ ബേബി എന്നിവർ നത്വത്വം നൽകി  ത്രിശ്ശൂരിലെ അത്യധുനിക ന്യൂറോവാസ്കുലാർ ചികിത്സയിൽ വലിയ മുന്നേറ്റമായി ഈ വിജയം